
There is a lot of talk lately about Dez Bryant’s recent injury against the New York Giants where he broke his right foot, called a Jones fracture. Dez Bryant is the star wide receiver for the Dallas Cowboys and is expected to sit out anywhere from 6-12 weeks. With a new $70-million dollar contract signed over the off season ($45 million guaranteed), the star receiver hopes to return to the field sooner. But, after undergoing surgery this past week, he may just well be out for the rest of the entire season. Other notable athletes who have suffered a Jones fracture include Kevin Durant of the Oklahoma City Thunder and Julio Jones of the Atlanta Falcons. Here are seven things to know about this common injury.
1. What is a Jones fracture?
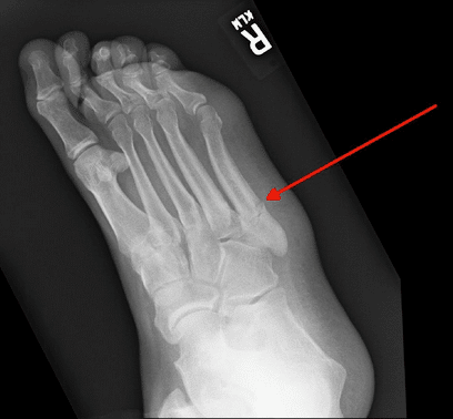
A Jones fracture is an injury to the base of the little toe, also known as the fifth metatarsal.

It was initially described by an Orthopedic Surgeon in 1902, Sir Robert Jones. It was believed he suffered the fracture himself while dancing. In fact, the Jones fracture is also known as a Dancer’s fracture, since many people incur this injury while participating in activities such as dancing.
In most cases, a Jones fracture is caused by a twisting injury to your foot, such as landing on it wrong while coming down from a catch. Other causes include overuse, repetitive stress, and trauma.
Symptoms usually include pain on the outside of the foot, swelling, bruising, and pain with walking.
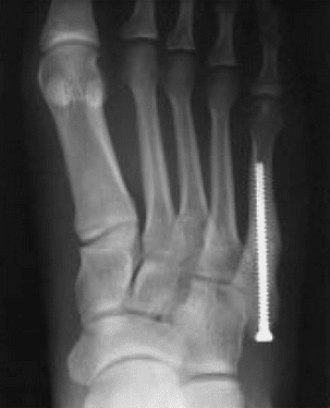
Treatment usually consists of immobilization in a cast. Patients are not usually allowed to place weight on the foot until the fracture heals. When the fracture does not heal, it is usually caused by a lack of blood supply to the bone. When this happens, surgery is warranted.
Surgery, usually reserved for competitive athletes like professional football players, involves making a small incision on the outside of the foot and placing a screw inside the bone, a plate, or wires. Sometimes, bone from another part of your body or cadaver is used to add structural support to the fixation and stimulate the healing process.

Most fractures take about 6-8 weeks to heal in a cast, splint or walking boot. If a bone graft is required, this may add additional 3-6 weeks. After this time period, rehab usually begins and can last an another 2-3 weeks. For athletes, this can be a season-ending injury.

Antonio J. Webb, M.D. is an Orthopaedic Resident Surgeon, Iraq combat veteran, motivational speaker and author of “Overcoming the Odds: From war on the streets of Louisiana to war on terrorism in Iraq, how I successfully overcame the odds.” Follow him: Facebook: Facebook.com/awebbmd Instagram: @overcomingtheoddsbook Twitter: @drwebb82 Amazon:amazon.com/author/antoniowebbmd

By subscribing, you consent to receive emails from BlackDoctor.com. You may unsubscribe at any time. Privacy Policy & Terms of Service.