
In light of the recent report citing that brain cancer is now the number one cancer killing kids, many people are wondering what to look for and how to protect their children. Brain cancer can arise from many different types of brain cells (primary brain cancer) or occur when cancer cells from another part of the body spread (metastasize) to the brain. True brain cancers are those that arise in the brain itself. Causes of brain cancer are difficult to prove; avoiding compounds linked to cancer production is advised. Some quick facts about brain cancer are below:
Brain cancer symptoms vary but often include:
MUST READ: Top 3 Causes Of Cancer
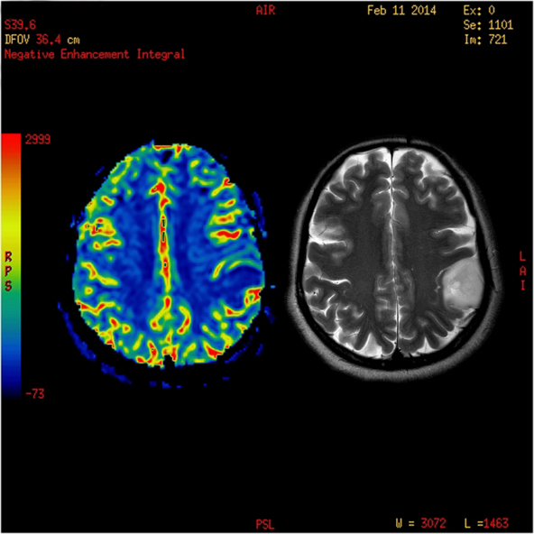
Diagnostic tests for brain cancer involve a history, physical exam, and usually a CT or MRI brain imaging procedure; sometimes a brain tissue biopsy is done.
Symptoms that may be specific to the location of the tumor include:
Treatments usually are directed by a team of doctors and are designed for the individual patient; treatments may include surgery, radiotherapy, or chemotherapy, often in combination.
Side effects of treatments range from mild to severe, and patients need to discuss plans with their treatment team members to clearly understand potential side effects and their prognosis (outcomes).
Depending on the brain cancer type and overall health status of the patient, brain cancer frequently has only a fair to poor prognosis; children have a somewhat better prognosis.

By subscribing, you consent to receive emails from BlackDoctor.com. You may unsubscribe at any time. Privacy Policy & Terms of Service.